CARACTERÍSTICAS E BENEFÍCIOS

1

TECNOLOGIA INOVADORA DE POLIMERIZAÇÃO

O cimento fotopolimerizável oferece um longo tempo de trabalho que facilita a colocação simultânea de várias facetas. PANAVIA™ V5 Tooth Primer sela a interface adesiva por polimerização imediata ao contacto com a pasta (cura táctil). O resultado é uma ligação forte e duradoura.

2

ESTÉTICA ELEVADA

Uma baixa espessura do filme e uma boa capacidade de polimento permitem que utilizadores criem margens suaves. Quatro tonalidades diferentes selecionadas, altamente estáveis em termos de cor, oferecem uma estética de longa duração. A combinação de pastas experimentais facilita a seleção da tonalidade correta.

3

MANUSEAMENTO OTIMIZADO

Viscosidade e consistência adequadas da pasta permitem uma distribuição mais fácil e um assentamento correto da restauração, enquanto a função cura de aderência de um segundo proporciona uma remoção suave do excesso de cimento.

INDICAÇÕES

PANAVIA Veneer LC pode ser utilizado
para a cimentação permanente de
cerâmica e resina:

  • Facetas
  • Inlays e onlays com menos
    de 2 mm de espessura

INDICAÇÕES

PANAVIA Veneer LC pode ser utilizado para a
cimentação permanente de cerâmica e
compósito:

  • Facetas
  • Inlays e onlays com menos
    de 2 mm de espessura

TECNOLOGIA INOVADORA DE POLIMERIZAÇÃO

Um cimento de faceta deve oferecer um longo tempo de trabalho, mas ainda assim obter uma alta força de ligação estável ao longo do tempo. Para fornecer ambos, a Kuraray Noritake Dental Inc. desenvolveu um modo de utilizar a tecnologia de cura táctil com um cimento fotopolimerizável.
PANAVIA Veneer LC é um sistema de cimento de resina fotopolimerizável com excelente estabilidade sob luz ambiente, o que leva a um tempo de trabalho de 200 segundos*. Isto lhe permite colocar várias facetas de cada vez sem ter de correr contra a fixação. A polimerização pode ser iniciada sempre que estiver pronto para isso.

*Tempo de trabalho sob luz ambiente (8000 lux): 200 segundos.

200
SEG
TEMPO DE TRABALHO*
PRIMÁRIO AUTOCONDICIONANTE<br>DE UM COMPONENTE

PRIMÁRIO AUTOCONDICIONANTE
DE UM COMPONENTE

Contribui para a polimerização da interface adesiva.

PASTA DE CIMENTO FOTOPOLIMERIZÁVEL

PASTA DE CIMENTO FOTOPOLIMERIZÁVEL

Excelente estabilidade da luz ambiente.

FOTOPOLIMERIZAÇÃO

Selar a interface adesiva com a estrutura do dente por cura táctil,
assegurando simultaneamente um tempo de operação suficiente.

Image

Estética elevada

Devido à espessura mínima e à translucidez elevada, o aspeto estético das facetas é fortemente afetado pela cor do cimento. Por conseguinte, é essencial utilizar um cimento de resina de cor estável que produz margens que permanecem indetectáveis ao longo do tempo. PANAVIA Veneer LC cumpre estas tarefas.

High Aesthetics

RESISTÊNCIA À DESCOLORAÇÃO

A elevada estabilidade da cor é provavelmente a característica mais importante responsável por uma estética duradoura, proporcionada por uma formulação bem equilibrada e pela tecnologia de cura táctil.

Tand image (Desktop)
Tand image (Mobile)

MANUSEAMENTO OTIMIZADO

Optimised Handling

É possível reduzir o tempo e o esforço para a colocação da faceta com um cimento que suporta a aplicação homogénea do cimento, o posicionamento suave da faceta e a remoção do excesso e o polimento rápido? PANAVIA Veneer LC oferece todas as características necessárias e proporciona um elevado controlo graças à ponta de aplicação especialmente concebida.

NÃO PEGAJOSIDADE

O cimento de resina oferece uma consistência excelente e ideal para uma aplicação fácil e segura em toda a superfície de inserção, já que não se cola à ponta de aplicação devido à tecnologia de enchimento de nanocluster.

CONSISTÊNCIA IDEAL

Cargas de sílica esférica recentemente desenvolvidas no cimento permitem que este permaneça onde é aplicado, mas flui bem quando a faceta é assentada sobre o dente – para uma colocação fácil, sem desviar ou ceder.

REMOÇÃO FÁCIL DO EXCESSO

É possível remover o cimento em excesso numa só peça com um explorador após uma cura de aderência de um segundo.

CASO CLÍNICO

Cortesia do Dr. Sato

CASO CLÍNICO

Cortesia do Dr. Sato

Image 1

1. Estado inicial antes da preparação de 6 facetas (de #13 a #23).

Image 2

2. PANAVIA Veneer LC consistência excelente e viscosidade da pasta adequadas permitem distribuição, assentamento e remoção do excesso de cimento.

Image 3

3. Fotopolimerização de cada área e margens.

Image 4

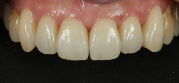
4. Resultado final após cimentação de seis facetas de KATANA™ Zirconia STML.

 

Consultar as instruções de utilização para instruções detalhadas.

CIÊNCIA

Grande polimento e retenção de brilho

Um grande polimento e uma excelente retenção de brilho suportam margens estéticas ao longo do tempo.

PANAVIA V5 Tooth Primer é um adesivo autocondicionante para a estrutura dentária (dentina e esmalte) que sela com segurança a interface dente-adesivo assim que a PANAVIA Veneer LC Paste é aplicada sobre ele. Esta tecnologia de cura táctil inicia a polimerização apenas na interface adesiva e estabelece uma forte ligação ao esmalte e à dentina, mas não afeta a reação de fixação do cimento. Uma alta resistência de ligação aos materiais restauradores é obtida com utilização do comprovado CLEARFIL™ CERAMIC PRIMER PLUS.

RETENÇÃO DO BRILHO
RETENÇÃO DO BRILHO
PANAVIA Veneer LC Paste

Fonte: Kuraray Noritake Dental Inc.

RETENÇÃO DO BRILHO
RETENÇÃO DO BRILHO
PANAVIA Veneer LC Paste
Competidor I*
Competidor II*

Condições de teste: amostra ø 10mm, espessura 2 mm. Depois suavização da superfície com papel abrasivo resistente à água de #1000 a #2500, polimento final com filme de lapidação. Valor inicial (medir o nível de brilho após o polimento*). Desgaste da escova de dentes (medido após 40.000 golpes com 250 g de carga, 30 golpes/minuto, 10 % em peso de pasta de dentes*). Medido com um medidor de brilho VG 2000 (Nippon Denshoku Kogyo) a um ângulo de 60°. Nota: Os valores podem variar dependendo das condições de medição.

Fonte: Kuraray Noritake Dental Inc.
*Não é uma marca registada da KURARAY CO., LTD.

RESISTÊNCIA AO CISALHAMENTO DA LIGAÇÃO A DENTES HUMANOS
RESISTÊNCIA AO CISALHAMENTO DA LIGAÇÃO A DENTES HUMANOS
Esmalte
Dentina

Condições de teste: polimento #1000, aplicando cada um dos agentes primários PANAVIA Veneer LC Paste: fotopolimerização durante 20 segundos, cimentação chipe Steel Use Stainless (3 mm) com PANAVIA SA Cement Universal. Medido após armazenamento em água a 37 °C durante 1 dia, ciclo térmico: 4–60 °C.

Fonte: Kuraray Noritake Dental Inc.
*Não é uma marca registada da KURARAY CO., LTD.

RESISTÊNCIA AO CISALHAMENTO DA LIGAÇÃO A MATERIAL PROTÉTICO
RESISTÊNCIA AO CISALHAMENTO DA LIGAÇÃO A MATERIAL PROTÉTICO
37 °C 1 dia
TC3000

Condições de teste: polimento #1000, jato de areia (KATANA Zirconia HT) ou condicionamento hidrofluorídrico (vitrocerâmica), aplicando PANAVIA V5 Tooth Primer por 20 segundos. PANAVIA Veneer LC Paste: fotopolimerização por 20 segundos, ponta de cimentação Steel Use Stainless (5 mm) com PANAVIA SA Cement Universal. Medido após armazenamento em água a 37 °C durante 1 dia, ciclo térmico: 4–60 °C.

Fonte: Kuraray Noritake Dental Inc.
*Não é uma marca registada da KURARAY CO., LTD.

TONALIDADES

PANAVIA V5 TRY-IN PASTE
Clear
Universal
White
Brown

QUATRO TONALIDADES
ALTAMENTE ESTÉTICAS

COMBINAÇÃO DE PASTAS
EXPERIMENTAIS

ESPESSURA MÍNIMA
DO FILME

Com uma tonalidade que corresponde aos requisitos individuais, obtêm-se facilmente resultados realistas.

As PANAVIA V5 Try-In Pastes combinam com as tonalidades de PANAVIA Veneer LC e permitem uma simulação da aparência final.

Graças à fluidez e baixa espessura de película, a PANAVIA Veneer LC produz uma camada de cimento fina e uniformemente distribuída, contribuindo para uma fácil colocação sem interferências e para margens altamente estéticas.

QUATRO TONALIDADES ALTAMENTE ESTÉTICAS

Com uma tonalidade que corresponde aos requisitos individuais, obtêm-se facilmente resultados realistas.

COMBINAÇÃO DE PASTAS EXPERIMENTAIS

As PANAVIA V5 Try-In Pastes combinam com as tonalidades de PANAVIA Veneer LC e permitem uma simulação da aparência final.

ESPESSURA MÍNIMA DO FILME

Graças à fluidez e baixa espessura de película, a PANAVIA Veneer LC produz uma camada de cimento fina e uniformemente distribuída, contribuindo para uma fácil colocação sem interferências e para margens altamente estéticas.

  • Internationally highly valued

     

    Testimonials

  • Afbeelding Dr. Greg Campbell, DDS
  • Dr. Greg Campbell, DDS
    USA

    “Love the versatility of the new PANAVIA Veneer LC cement when it comes to delivering my Veneers and Onlays. I can use the PANAVIA V5 Tooth Primer or my CLEARFIL Universal adhesive and get the proven benefits of the Original-MDP and the “Gold Standard” bonding we have come to expect from Kuraray. Easy to use, easy to clean up and extremely strong bonds. Four shades and try-in pastes give me complete control and ensures clinical success time and time again!
    Thank you, Kuraray Noritake for another great product.”

     

  •  

    Dr. Karyn Halpern, DDS
    USA

    “I am so impressed by the bond of this new cement. It’s not only strong but it was super easy to use, place, and clean up!
    Needless to say, I am a fan!”

     

     

  • Afbeelding Dr. Karyn Halpern DDS
  • Afbeelding Dr. Gianmarco O'Brien, DDS, Inc.
  • Dr. Gianmarco O'Brien, DDS, Inc.
    USA

    "This product is what I have come to expect from a company like Kuraray, the leader in adhesive dentistry. Easy to use clinically (excellent handling), very color stable since there is NO POST-BONDING GRAYING effect from tertiary amines (aromatic amine). I have total confidence in the DURABLE bond strength with their products. This is my new go-to veneer adhesive resin cement system!"

     

Produtos

Para comprar, escolha entre as seguintes opções.

PANAVIA V5  Try-in Paste
PANAVIA V5 Try-in Paste

1.8ml

Universal (A2)
Clear
Brown (A4)
White
Opaque

-
+
PANAVIA™ Veneer LC KITS
PANAVIA™ Veneer LC KITS
-
+
CLEARFIL™ CERAMIC PRIMER PLUS
CLEARFIL™ CERAMIC PRIMER PLUS

4ml

-
+
PANAVIA™ Veneer LC PASTE
PANAVIA™ Veneer LC PASTE
-
+

Perguntas mais frequentes

Elaboramos uma lista de respostas às perguntas mais pertinentes.

What is “PANAVIA™ Veneer LC”?

“PANAVIA™ Veneer LC” is a light-cure adhesive resin cement system. It consists of the “PANAVIA™ Veneer LC” Paste (a light-cure cement paste), “CLEARFIL™ CERAMIC PRIMER PLUS” (a silane, zirconia & metal primer), K-ETCHANT Syringe (Phosphoric Acid), and “PANAVIA™ V5” Try-in Paste. “CLEARFIL™ Universal Bond Quick” or “PANAVIA™ V5” Tooth Primer can be chosen for tooth treatment.

What are the indications?

Cementation of ceramic and composite inlays, onlays and laminate veneers with less than 2 mm thickness of the following materials: silica-based ceramics (e.g. conventional porcelain, lithium disilicate), hybrid ceramics, composite resin and “KATANA™ Zirconia” STML/UTML/YML (with a thickness of less than 1.2 mm).

How can I treat the prosthetic restoration?

Follow the Instructions for Use of the restorative material. In the absence of specific instructions, we recommend the following procedures and application of the provided “CLEARFIL™ CERAMIC PRIMER PLUS”: if the adherent surface is silica-based ceramic (e.g. conventional porcelain, lithium disilicate), hybrid ceramic or composite resin: Based on the type of restoration, hydrofluoric acid etching or air abrasion treatment may be used:

 

Acid Etching Treatment (e.g. conventional porcelain, lithium disilicate):
Etch the adherent surface with a hydrofluoric acid solution in accordance with the Instructions for Use of the solution. Rinse the adherent surface with water and dry.

 

Air Abrasion Treatment (e.g. composite resin):
Roughen the adherent surface by blasting with alumina powder (30-50 μm) using air pressure of 0.1-0.2 MPa (1-2 kgf/cm2, 15-29 psi, 1-2 Bar). The air pressure and powder size should be properly adjusted to suit the material and/or shape of the prosthetic restoration, using caution to prevent chipping. Clean the prosthetic restoration in an ultrasonic cleaning unit for 2 minutes or with “KATANA™ Cleaner” with 10 seconds of rubbing and then rinse with water.

Is it possible to use “CLEARFIL™ Universal Bond Quick” for the surface treatments of veneer restorations?

Although technically possible, we recommend to use “CLEARFIL™ CERAMIC PRIMER PLUS” to get optimal performance for glass ceramics.

Are there additional steps, if I try-in the restoration after it is acid etched or air abraded?

Yes, doing that would contaminate the restoration and, hence, decrease the bond strength. To remove the contamination, use “KATANA™ Cleaner” for 10 seconds with a rubbing motion then rinse with water until the color has been disappeared and dry the restorations to remove contaminants, or apply K-ETCHANT Syringe (Phosphoric Acid) for 5 seconds in case of non-zirconia restorations.

How can I treat the prepared tooth?

There are 2 ways to treat the prepared tooth: with the “PANAVIA™ V5” Tooth Primer or “CLEARFIL™ Universal Bond Quick”.

 

a) “PANAVIA™ V5” Tooth Primer: Etch the enamel with the K-ETCHANT (phosphoric acid) for 10 seconds, rinse and dry. Apply the Tooth Primer to the entire prepared tooth surface, with an applicator brush and leave it in place for 20 seconds. Thoroughly dry the entire adherent surface sufficiently by blowing mild, oil-free air until all water is evaporated from the primer.

 

b) “CLEARFIL™ Universal Bond Quick”: Selective etch the enamel with K-ETCHANT syringe (phosphoric acid) for 10 seconds, rinse and dry. Apply BOND with a rubbing motion to the entire preparation with the applicator brush. No waiting time is required. Dry the entire cavity wall sufficiently by blowing mild air for more than 5 seconds until BOND does not move.

 

When cementing laminate veneers, there is no need to light-cure BOND prior to seating the laminate veneers. It should be cured after seating the laminate veneers with the “PANAVIA™ Veneer LC” cement. When cementing inlays or onlays, BOND should be light-cured before seating the restoration. Please confirm the curing time by referencing the Instructions for Use.

What are the differences of using the “PANAVIA™ V5” Tooth Primer or “CLEARFIL™ Universal Bond Quick” when treating the prepared tooth?

In terms of bond strength, both are similar and provide excellent results. Nevertheless, the “PANAVIA™ V5” Tooth Primer will provide a “touch-cure” mechanism that will seal the bonding interface before the final light curing. Additionally, while the application time is shorter with “CLEARFIL™ Universal Bond Quick” (no waiting time versus 20 s), there is a longer working time under ambient light with the “PANAVIA™ V5” Tooth Primer (200 seconds vs 160 seconds with the BOND).

What are the advantages of “PANAVIA™ Veneer LC” over competing products?

PANAVIA™ Veneer LC” offers the ideal paste consistency, not being too high or too low as several competitive products. This will facilitate the dispensing of the paste onto the restoration and smooth seating of such restoration. A low film thickness and long working time are also advantages over competitive products. In addition, in case of using it with the “PANAVIA™ V5” Tooth Primer, the “touch-cure” mechanism will provide bonding interface sealing.

How should the excess cement be removed?

One of the following two techniques can be used:

 

Tack-Cure Clean-Up Technique: Light-cure any excess cement in several spots for 1 second at a distance of 10-15 mm. Hold the prosthetic restoration in position, remove the tack-cured excess cement using a dental instrument.

 

Wet Clean-Up Technique: Any excess cement remaining at the margins can be removed with a small brush, foam pellet, dental floss or dental explorer.

 

Regardless of the technique used, final curing will be required as the next step. Please refer to the Instructions for Use.

Should the margins be covered with a protective gel during final curing?

The use of a protective gel, like “PANAVIA™ F 2.0” OXYGUARD II, is beneficial to prevent the forming of an oxygen inhibited layer thus helping to create smooth margins.

How many shades of “PANAVIA™ Veneer LC” Paste are available?

There are 4 shades of “PANAVIA™ Veneer LC” Paste available: Clear, Universal (A2); White and Brown (A4). Each shade has a corresponding glycerin based, water soluble Try-In Paste.

How is the “PANAVIA™ V5” Try-in Paste used?

The “PANAVIA™ V5” Try-In Paste shades match the “PANAVIA™ Veneer LC” shades (in light-cured state) and allow for a simulation of the final appearance of the restoration. The “PANAVIA™ V5” Try-In Paste cannot be (light) cured, and can be removed easily with water.

Is “PANAVIA™ Veneer LC” color stable?

Yes, “PANAVIA™ Veneer LC” Paste is color stable.

What makes “PANAVIA™ Veneer LC” color stable?

Since “PANAVIA™ Veneer LC” Paste is only light curing, no amine reducing agent based redox curing system is included avoiding unwanted discoloration over time.

What is the filler load and particle size?

The total amount of inorganic filler is approximately, 66 wt%, 47 vol%. The particle size of inorganic fillers range from 0.05 μm to 8 μm.

What is the main filler form of “PANAVIA™ Veneer LC”?

“PANAVIA™ Veneer LC” Paste has spherical silica and nano cluster fillers. This provides a paste which is not runny, has excellent handling, and resistance to sagging.

What is the film thickness of “PANAVIA™ Veneer LC”?

“PANAVIA™ Veneer LC” Paste film thickness is around 8 μm.

Can “PANAVIA™ Veneer LC” be used to cement zirconia veneers and inlays/onlays?

Zirconia should not be used because it may not have sufficient translucency. However, zirconia of our products with high translucency (“KATANA™ Zirconia” STML/UTML, “KATANA™ Zirconia” Block STML) can be used with a thickness of less than 1.2 mm.

How is the bond strength of “PANAVIA™ Veneer LC”?

“PANAVIA™ Veneer LC” has excellent bond strength to several substrates (e.g. enamel, dentin, lithium disilicate, “KATANA™ Zirconia”, feldspar ceramic) at a similar level to the acclaimed “PANAVIA™ V5”.

How many treatments can be cemented with a single syringe?

Approximately 20-30 teeth for laminate veneer.

Do “CLEARFIL MAJESTY™ ES Flow” and “PANAVIA™ Veneer LC” use the same application tips?

No, the “PANAVIA™ Veneer LC” Paste tips are specially designed for an easy extrusion and application and their gauge, which is 16 (1.65 mm in diameter) and differ from the “CLEARFIL MAJESTY™ ES Flow” ones.

How do I store “PANAVIA™ Veneer LC”?

The product should be stored in the refrigerator. All components stored in the refrigerator should be brought to room temperature for 15 minutes before use in order to restore its normal viscosity and curing properties.

What is the shelf-life of the “PANAVIA™ Veneer LC” components?

The shelf-life of “PANAVIA™ Veneer LC” components is 36 months from date of manufacture with refrigeration.